10 Preguntas Frecuentes sobre el Reemplazo de Cadera


Introducción al Reemplazo de Cadera
El reemplazo de cadera es una de las cirugías más exitosas en ortopedia.
Este procedimiento quirúrgico permite recuperar la movilidad, disminuir el dolor y mejorar la calidad de vida de miles de pacientes en el mundo. Sin embargo, es común que los pacientes tengan preguntas y preocupaciones antes de tomar la decisión de someterse a esta operación.
A continuación, responderemos las 10 preguntas más frecuentes sobre el reemplazo de cadera, con el fin de ofrecer claridad y tranquilidad a quienes enfrentan esta opción.
1. ¿Qué es el reemplazo de cadera?
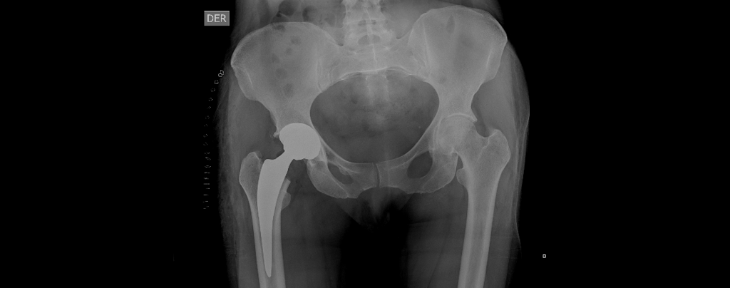
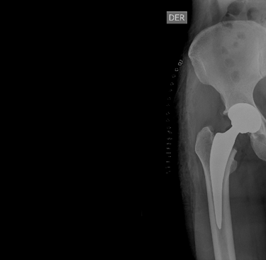
El reemplazo de cadera es una cirugía en la que se retira la articulación de la cadera dañada y se reemplaza por una prótesis artificial (Metal).
Esta intervención es indicada principalmente para pacientes que sufren de artrosis severa o lesiones en la cadera que causan un dolor intenso y limitación en la movilidad.
2. ¿Cuáles son los motivos más comunes para realizar esta cirugía?
Los motivos más comunes para realizar un reemplazo de cadera incluyen: artrosis degenerativa, fracturas de cadera, necrosis avascular, enfermedades metabólicas y displasia de cadera. En todos estos casos, la cirugía está destinada a aliviar el dolor y restaurar la función del miembro afectado.
3. ¿Quiénes son candidatos ideales para el procedimiento?
Generalmente, los candidatos ideales para el reemplazo de cadera son aquellos pacientes que han agotado todas las opciones de tratamiento conservador, como la fisioterapia o los medicamentos, y siguen experimentando dolor significativo.
La edad, la salud general y el nivel de actividad del paciente son factores que el médico considerará.
4. ¿Cuánto tiempo dura la recuperación?
La recuperación de un reemplazo de cadera puede variar según el paciente, pero, en general, la mayoría de las personas pueden volver a sus actividades diarias en un período de 6 a 12 semanas.
Es vital seguir las indicaciones del médico y la rehabilitación adecuada para asegurar una recuperación exitosa.
5. ¿Existen riesgos asociados con la cirugía?
Como con cualquier cirugía siempre existen riesgos involucrados, que pueden incluir infecciones, trombos o coágulos de sangre y problemas en la protesis. Sin embargo, estos riesgos pueden ser manejados prevenidos o aminorados adecuadamente bajo la supervisión de un equipo médico experimentado.
6. ¿Qué tipo de anestesia se utiliza?
La anestesia utilizada durante un reemplazo de cadera puede ser general o regional. La decisión sobre el tipo de anestesia dependerá de varios factores, incluyendo la preferencia del paciente y la recomendación del anestesiólogo.
7. ¿Cuánto tiempo estará en el hospital?
La estancia en el hospital tras un reemplazo de cadera varía, pero típicamente puede oscilar entre 1 y 3 días, dependiendo del tipo de cirugía realizada y la recuperación inicial del paciente.
8. ¿Qué debo esperar después de la cirugía?
Después de la cirugía, es normal experimentar dolor y rigidez en la cadera. Sin embargo, con un adecuado manejo del dolor y ejercicios postoperatorios.
la mayoría de los pacientes reportan una mejora considerable en poco tiempo.
9. ¿Qué tipo de seguimiento se requiere después de la cirugía?
El seguimiento postoperatorio es esencial para garantizar una recuperación adecuada.
10. ¿Qué cambios de estilo de vida se deben considerar?
Tras un reemplazo de cadera, se pueden recomendar cambios en el estilo de vida para mantener la salud de la nueva articulación.
Esto puede incluir actividad física moderada, mantener un peso saludable, y participar en actividades que mejoren la flexibilidad y la fuerza.
